31 may 2011
29 may 2011
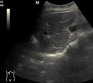
FW: Imagen anecoica hepática (II)
From: fgutig@hotmail.com
To: ecocyl.publicar@blogger.com
Subject: Imagen anecoica hepática (II)
Date: Sun, 29 May 2011 11:36:17 +0200
Siento tener que enviar los archivos por separado per no me admite los dos en el mismo mail. Os envio por un lado el corte transversal y por el otro el longitudinal.
24 may 2011
CURSO AVANZADO DE ECOGRAFÍA TIROIDEA.
Ecografía avanzada del tiroides
Eco.Piedrahita-Ávila (Ecocyl Grupo)
Lugar : Ávila
Fecha: 11 de Junio de 2011
Inscripción gratuita incluyendo comida de trabajo.
Mandar correo con el título “Inscripción” a : ecocyl@gmail.com ANTES DEL 5 DE JUNIO
Podemos gestionar alojamiento en hotel la noche anterior viernes.
Programa
9,30 horas
Recuerdo anatómico de la glandula
Anatomía ecográfica del tiroides y estructuras implicadas
Patología tiroidea
Correlación clínico.ecográfica
Patología difusa
Patología nodular
Patología autoinmune
Patología infecciosa
Patología neoplásica benigna
Patología neoplásica maligna
Patología paratiroidea
11,30 horas: Descanso / Café
12 horas:
Patología nodular tiroidea
Entidades clínicas con semiología nodular
Estructura ecográfica nodular
Características ecográficas de identificacion
Escala de grises
Color y duplex
Reconocimiento de diferentes típos nodulares
Ensayo de reconocimiento
Valoración epidemiológica pormenorizada de los principales signos ecográficos
Asociación de signos ecográficos
14 Horas: Descanso / Comida
16 Horas:
Ponderación ecográfica de sospecha de malignidad
Guias de intervención basadas en criterios clinico-ecográficos
17, 30 Horas:
Casos clínicos y ensayo de destrezas adquiridas
Etiquetas:
Temporal
23 may 2011
Bursitis sub-acromial
Como podeis apreciar estoy realizando bastantes ecografias de hombro. Hoy os envio una bursitis del supraespinoso
T. Martínez
T. Martínez
Etiquetas:
MSK-Hombro
22 may 2011
Calcificacion supraespinoso?
Paciente de 63 años con clínica de tendinitis. Al realizarle eco, encuentro al imagen que publico.¿Os parece calcificación?. Los cortes están realizados a nivel de tendón de supraespinoso
T. Martinez
Etiquetas:
MSK-Hombro
21 may 2011
imagen de ovario

Paciente de 30 años asintomática que solicita consulta por presentar esterilidad, mientras esta esperando la cita en ginecologia ,se le cita en centro de salud para realizar una ecografia pelvica donde se aprecia esta imagen , las 2 imágenes redondeadas son parte de un teratoma que ya esta operado , saludos desde el Burgo de Osma
Etiquetas:
Ovario
20 may 2011
Saludos a todos desde Panamá
Hola compis, desde Panamá saludos para todos, vaya calor,aquí haciendo patria y conociendo situaciones totalmente diferentes, pero los compañeros panameños muy agradables y muy receptivos, saludos Jesús
Etiquetas:
Temporal
Hiperplasia multinodular con nódulo dominante tóxico
Con fecha probable de 11 de junio sábado realizaremos en Ávila un curso intensivo, mañana y tarde de ecografía tiroidea.
En próxima publicación comunicaremos horario y programa del curso. Estáis todos invitados.
Paciente con nódulos palpables en ambos lóbulos tiroideos, sobre todo en lóbulo izquierdo donde se palpa uno de mayor tamaño. Los niveles de T4L están elevados con TSH bajos. En la ecografía se detecta un nódulo dominante en lóbulo izquierdo y otro en derecho con calcificación interna que muestro en las siguientes imágenes.
Que opinais. Hacemos un PAAF??
Ramón Martín. Piedrahita-Ávila
Etiquetas:
Nódulo Tiroides
16 may 2011
Rv: HBP ?
> Querida Elena Francis, soy una
> muchachita de Avila y he conocido a un chico que dice tener
> 18 años y venir con intenciones honestas, al que aún no he entregado mi flor.
> Inintencionadamente ha caido en mi poder una ecografia de su
> próstata y necesito saber tu opinión. ¿corresponde su
> próstata a alguien con la edad que dice tener él?. Gracias
> por tu ayuda.
> "desesperada de Avila".
> muchachita de Avila y he conocido a un chico que dice tener
> 18 años y venir con intenciones honestas, al que aún no he entregado mi flor.
> Inintencionadamente ha caido en mi poder una ecografia de su
> próstata y necesito saber tu opinión. ¿corresponde su
> próstata a alguien con la edad que dice tener él?. Gracias
> por tu ayuda.
> "desesperada de Avila".
Ecografía de testículo (?)
| Que os parece estas imágenes de un paciente que se quejaba mucho Saludos Enrique Sanchez Piedrahita- Ávila |
15 may 2011
Angiomas
Esta imagen es para animar a las personas que empiezan ahora con la ecografia :paciente asintomatica que se le realiza una ecografia abdominal para adquirir destreza en el manejo , nada mas de empezar la exploracion aparecen estas imagenes en higado , ha sido estudiada con ecografia , tac y resonancia y se confiema el diagnostico de multiples angiomas.
Seguimiento por ecografía
Jesús Lafuente
Etiquetas:
Hígado
Quiste hidatídico hepático gigante y quiste renal izdo.
La primera imagen correspnde al hidatide de higado que ya es antiguo y está tratado e inactivo, las dos últimas corresponden al de riñon (espero que me lo confirmeis) que salio inesperadamente en la eco.
Un abrazo para todos.
Dionisio Zaera.
Un abrazo para todos.
Dionisio Zaera.
Etiquetas:
Hígado
13 may 2011
Nodulo Tiroideo
Paciente joven diagnosticada de Hipotiroidismo subclinico, le realizo esta ecografia descubriendo en lobulo tiroideo derecho esta imagen (corte transversal). ¿Que hacer? ¿Derivar?, ¿controles periodicos?. El video tiene muy mala calidad por eso he preferido no colgarle.
Tomás Martínez.
11 may 2011
Calcificación del Supraespinoso
| Mujer de 40 años con hombro doloroso desde hace 6 meses vista por TyO en tto con rehabilitacion y AINEs. En la eco se ve la imagen hiperecogenica en tendon de supraespinoso. Saludos Jesús Casado San Juan |
Etiquetas:
MSK-Hombro
Quiste de Backer
| Paciente de 70 años que nota un dolor y un bulto que no se reduce en hueco popliteo. Compatible con quiste Backer Saludos Jesus Casado San Juan |
10 may 2011
LOE ¿ovario? ¿útero? (?)
En una paciente asintomática, encontramos estas imágenes.
¿Que os parece, útero, ovario?
Un abrazo
Carlos Duque.
Un abrazo
Carlos Duque.
Etiquetas:
En estudio
9 may 2011
Hepatopatía Crónica
Paciente de 67 a. con Hepatopatía crónica. En las imágenes que envío, se puede comprobar esteatosis hepática (desde mi punto de vista Grado III-IV), borde romo de hígado y un gran lóbulo caudado.
Tomás Martínez
5 may 2011
Solucionado cortar video
Se ha publicado en el "Foro" un nuevo hilo con la solución para perder de vista el logo de Mindray y los datos del paciente. También podremos ajustar la duración a la secuencia deseada.
Todos en marcha
Ramón Martín
Todos en marcha
Ramón Martín
Etiquetas:
Temporal
4 may 2011
Calcificacion supraespinoso (?)
Paciente que tras accidente grave (hace 1 año) refiere dolor intenso a nivel de hombro izq. Le han realizado infiltraciones.....y ¡ajo y agua!. Le realizo eco y observo la imagen que os mando. ¿Que os parece?. Es corte semioblicuo a nivel de supraespinoso
Etiquetas:
En estudio
Masa vesical vs útero patológico. (?)
| Somos el equipo de eco Béjar.Os remitimos estos cortes ecográficos con estos datos:mujer de mas de 50 años postmenopaúsica con hematurias de repetición sin otra clínica.Un saludo A ver si nos sacais de dudas . |
Etiquetas:
En estudio
Suscribirse a:
Comentarios
(
Atom
)


















