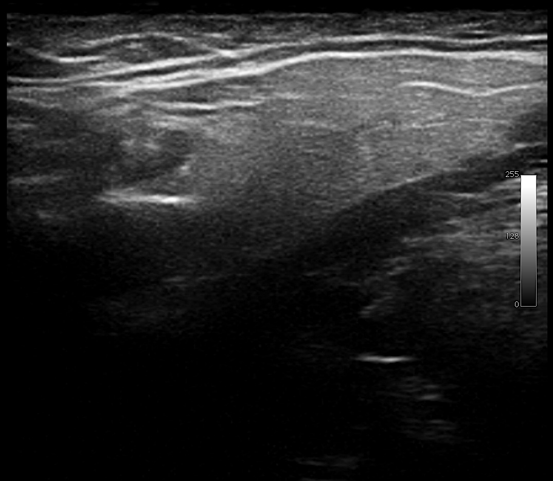
Paciente de 42 años con molestias en escroto y apreciación de bulto en testículo izquierdo.
Se realiza ecografía donde se aprecia en teste derecho un quiste epididimal en cabeza y pequeño hidrocele (Imágen 1). En teste izquierdo se observa quiste anecógeno no vascularizado, pequeño quiste para-albuginea y formaciones dilatadas en epididimo no vascularizadas que puedan corresponder por ello a ectasia ductal. (imágenes 2 y 3 y video)
Si agradece vuestra opinión
Saludos
Ramón Martín
31 may 2012
17 may 2012
Ectasia ductal e inflamación glándula submandibular
Paciente de 45 años que acude por einflamación submandibular izquierda, de aparición brusca y mala tolerancia a cualquier alimento por aumento de dolor. Ya ha tenido otras episodios similares anteriores.
Se realiza ecografía de glándulas salivares submandibulares del lado sano ( primera foto) y del enfermo donde se obserba inflamación de la glándula con dilatación por ectasia ductal y calcificaciones a diversos niveles.
R. Martin
y saludos
Se realiza ecografía de glándulas salivares submandibulares del lado sano ( primera foto) y del enfermo donde se obserba inflamación de la glándula con dilatación por ectasia ductal y calcificaciones a diversos niveles.
R. Martin
y saludos
Etiquetas:
Salivar Glándula
2 may 2012
litiasis en meato uretral
Curiosa imagen, paciente a que acude con ¨molestias" en meato. A la exploración se observa la punta de una piedra casi en el exterior de la uretra.
En la ECO se observan, nó una, sino tres en bateria. La más externa se la saqué con pinzas y las otras dos las expulsó a lo largo de la tarde. Por cierto no refirió dolor al paso por riñón ni uréter y median casi un cm.
Saludos a todos.
Dionisio Zaera
|
Etiquetas:
Vías urinarias
Suscribirse a:
Comentarios
(
Atom
)





