| Soy Cirilo López del C.S. Piedrahita-Ávila Que os parece? |
28 abr 2011
27 abr 2011
Síncopes de repetición en Parkinson (?)

Se trata de una mujer de 68 años afectada de enfermedad de Parkinson desde hace tres años, con un grado de afectación leve, no presenta temblor visible, ni alteración motora visible. disminución de fuerza en miembro superior. Sufre caídas bruscas frecuentes que se atribuyen a desequilibrio motor, en las cuales se producen daños físicos importantes. La paciente cuenta que que la caída es inmediata y no por intentar recuperar un desequilibrio. El neurólogo la ha aumentado el tratamiento cualitativa y cuantitativamente.
Un buen amigo me ha prestado su ecógrafo y la he explorado el cuello encontrándome estas imágenes.
Que opinais??
Etiquetas:
En estudio
Editar Fotos
En el foro se ha creado un nuevo hilo con las instrucciones para mejorar las fotos que publicamos
Gracias a todos por que hemos conseguido que la página marche a "toda pastilla".
Un abrazo
Gracias a todos por que hemos conseguido que la página marche a "toda pastilla".
Un abrazo
Etiquetas:
Temporal
26 abr 2011
20 abr 2011
Masa en saco Douglas
Paciente de 32 años. Desde hace 20 meses tras cesarea refiere incremento de volumen abdominal en hipogastrio y se palpa una masa.No alteraciones de ciclo menstrual, ritmo intestinal normal, polaquiuria sin disuria.
Tras realizar ecografia observo lo que estais viendo, logro identificar utero y endometrio, no parece tratarse de mioma. Me cuesta encontrar los riñones sobretodo el derecho y pienso en riñon pelvico, pero al final en decubito prono logro identificarle en fosa renal. Le remito a Hospital donde realizan ecografia con identicas imagenes, le practican TAC que os envio y se diagnostica.......masa de 20x9 cm que ocupa toda la pelvis.
Tras realizar ecografia observo lo que estais viendo, logro identificar utero y endometrio, no parece tratarse de mioma. Me cuesta encontrar los riñones sobretodo el derecho y pienso en riñon pelvico, pero al final en decubito prono logro identificarle en fosa renal. Le remito a Hospital donde realizan ecografia con identicas imagenes, le practican TAC que os envio y se diagnostica.......masa de 20x9 cm que ocupa toda la pelvis.
Etiquetas:
Fecalooooma
Mi primer quiste de mama
Os dejo estas dos imágenes de quistes simples de mama. Fijaos en el tamaño del primero. Pedazo quiste. Luis Gaínza. (C.S. Aranda Rural)
Etiquetas:
Mama
19 abr 2011
quiste renal?
Qué os parece?. Quiste renal polo superior izquierdo en
paciente asintomático.
Un saludo.
Carlos Duque
paciente asintomático.
Un saludo.
Carlos Duque
Etiquetas:
Renal
17 abr 2011
fractura de radio
Realizada por Javier Gil en C.S Aranda Rural muestra la discontinuidad de la corticcal y el correspondiente hematoma, en concordancia con la radiografía en una fractura de radio en un adolescente.
---
Etiquetas:
MSK-Brazo
16 abr 2011
Clasificación de publicaciones
Con el fin de que no se pierdan consultas no resueltas, los títulos de todas aquellas publicaciones que no tengan diagnóstico, aparecerán con un signo de interrogación entre paréntesis -(?)- y además en la etiqueta o clasificación constan como "En estudio"
De esta manera en el despliegue de "Archivo" (columna de la derecha) se identificarán fácilmente. También en "Etiquetas" podremos abrir todas las que están pidiendo participación señalando las etiqueta "En estudio".
Así que podéis colaborar ya mandando las consultas o "eco-acertijos" con el -(?)- puesto.
Cuando en un comentario se envíe - por el autor- el diagnostico o solución, irá encabezado por la palabra: "Diagnóstico", así podremos localizarla fácilmente para cambiar el estatus de la publicación.
Todo esto si os parece correcto o apropiado
Saludos
De esta manera en el despliegue de "Archivo" (columna de la derecha) se identificarán fácilmente. También en "Etiquetas" podremos abrir todas las que están pidiendo participación señalando las etiqueta "En estudio".
Así que podéis colaborar ya mandando las consultas o "eco-acertijos" con el -(?)- puesto.
Cuando en un comentario se envíe - por el autor- el diagnostico o solución, irá encabezado por la palabra: "Diagnóstico", así podremos localizarla fácilmente para cambiar el estatus de la publicación.
Todo esto si os parece correcto o apropiado
Saludos
Etiquetas:
Temporal
15 abr 2011
esteatosis-cirrosis (?)
A ver que os parece, es un paciente de 44 años, alcoholico cronico, exbebedor desde hace un par de meses y parece que tiene criterios ecograficos de hipertension portal (menos la ascitis). ¿os parece que el granulado es cirrotico o un grado alto de esteatosis?.
Un abrazo para todos.
Dionisio
Un abrazo para todos.
Dionisio
Etiquetas:
En estudio
Tiroides
Esta mañana he realizado una eco tiroidea a una paciente diagnosticada de bocio nodular. Me he encontrado con esta imagen que al aplicar color no se tiñe.¿considerais que es un quiste?
Etiquetas:
Tiroides-Quiste
14 abr 2011
opiniones (?)
mujer de 17 a. antec. de quiste de ovario intervenido hace 3 años, hoy imagen en transversal y longitudinal, que os parece?,
Etiquetas:
En estudio
litiasis a lo bestia y no es biliar
Hombre de 92 a, como un pepe, con una uretra mas peligrosa que una escopeta de feria cuando empieza a eliminar lo que veis, y todo guardado por una prostata que no desmerece, a que os gusta. saludos Jesús
Etiquetas:
Vejiga
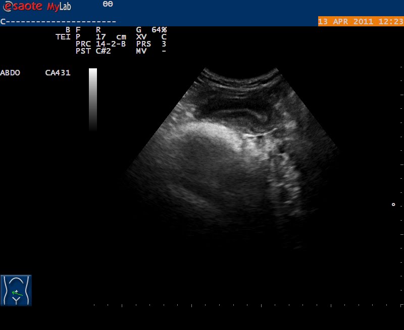
13 abr 2011
imagen ginecologica (?)
Hola amigos, os envio unas imagenes, de una mujer de 42 a. la primera hace 2 años, vista en ginecologia, y no digo dx, para no influir, las otras 2 actuales, ella esta asintomatica, espero vuestras opiniones . saludos
Etiquetas:
En estudio
Quiste bilateral de ovario
Mujer con alt menstruales. Fue estudiada con histeroscoipia por sospecha de pólipo endometrial, que no se confirmó.
Etiquetas:
Ovario
12 abr 2011
Colecistitis
Varon de 61 años que acude por dolor intenso de 6 h de evolución a nivel epigastrico, con sudoracion y aspecto de gravedad.
ECG: Normal. Analitica: leucocitois con desviación izq. RX Torax y abdomen normal. Eco abdominal: Se adjunta (realizada en el hospital)
Etiquetas:
Vesícula Biliar
Tiroides (?)
Os adjunto unas imagenes de tiroides (ya diagnosticado) todas ellas del lobulo derecho, excepto en la que falta el pictograma que corresponde a un corte longitudinal del lobulo izq.donde aparece una estructura mal definida (que me parece que tengo mal medido). Lamento no poder enviar el video por violar la identidad del paciente.
Etiquetas:
En estudio
quiste en utero ?
Otro hallazgo casual, mujer sesentañera que solo refiere algunos dolores punzantes ocasionales en FII (la LOE parece encontrarse más a la derecha. los 3 videos (muy buenos aunque sin sonido para no despertar a la SGAE) no los mado (sale el nombre). Espero quer los figuras me aclaren un poco estas imágenes. Un abrazo para todos. Dionisio. |
colelitiasis
Un hallazgo casual en mujer asintomática de mediana edad (54 años). Piedra densidad calcio de 1.5 cm (¿inexpulsable?, ¿indicacion quirurgica teniendo en cuenta la ausencia de síntomas?). tengo 2 videos pero no encuentro la forma de borrar el nombre y por eso no los mando, si alguno sabe como hacerlo, que nos cuente. Un saludo a todos, os echo de menos. Dionisio |
Etiquetas:
Vesícula Biliar
Suscribirse a:
Comentarios
(
Atom
)
















