8 abr 2011

Curso Valladolid (2)

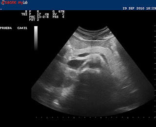
Ha todos ha sorprendido la calidad de la visualización del páncreas de Sara. Pues bien para que tengáis un "recuerdo" os cuelgo una imagen.
Comparaz con vuestros próximos pacientes y no os desaniméis.
Un Saludo
Tomás Martínez

1 comentario :

  1. sergio4/11/2011

    Jolin, podias habermelo dejado a la hora del examen

    ResponderEliminar

Tu opinión es importante

Nota: solo los miembros de este blog pueden publicar comentarios.